Each case provides context beyond before and after photos to help you better understand what may be possible for your own smile.
Uneven and Misshapen Teeth Corrected with Porcelain Veneers
These before and after photos highlight a dramatic porcelain veneer transformation completed in just two visits. The patient presented with uneven and misshapen teeth that created an unbalanced smile.
Porcelain veneers were custom designed and placed to correct shape, symmetry, and proportion while maintaining a natural and aesthetic appearance. In addition to improving the look of the smile, the veneers provide exceptional strength by reinforcing the underlying teeth and bonding seamlessly as a permanent part of them.
The result is a balanced, brighter smile that looks natural, feels strong, and enhances overall confidence in a short amount of time. Porcelain veneers are an ideal option for patients seeking noticeable cosmetic improvement without lengthy treatment timelines.
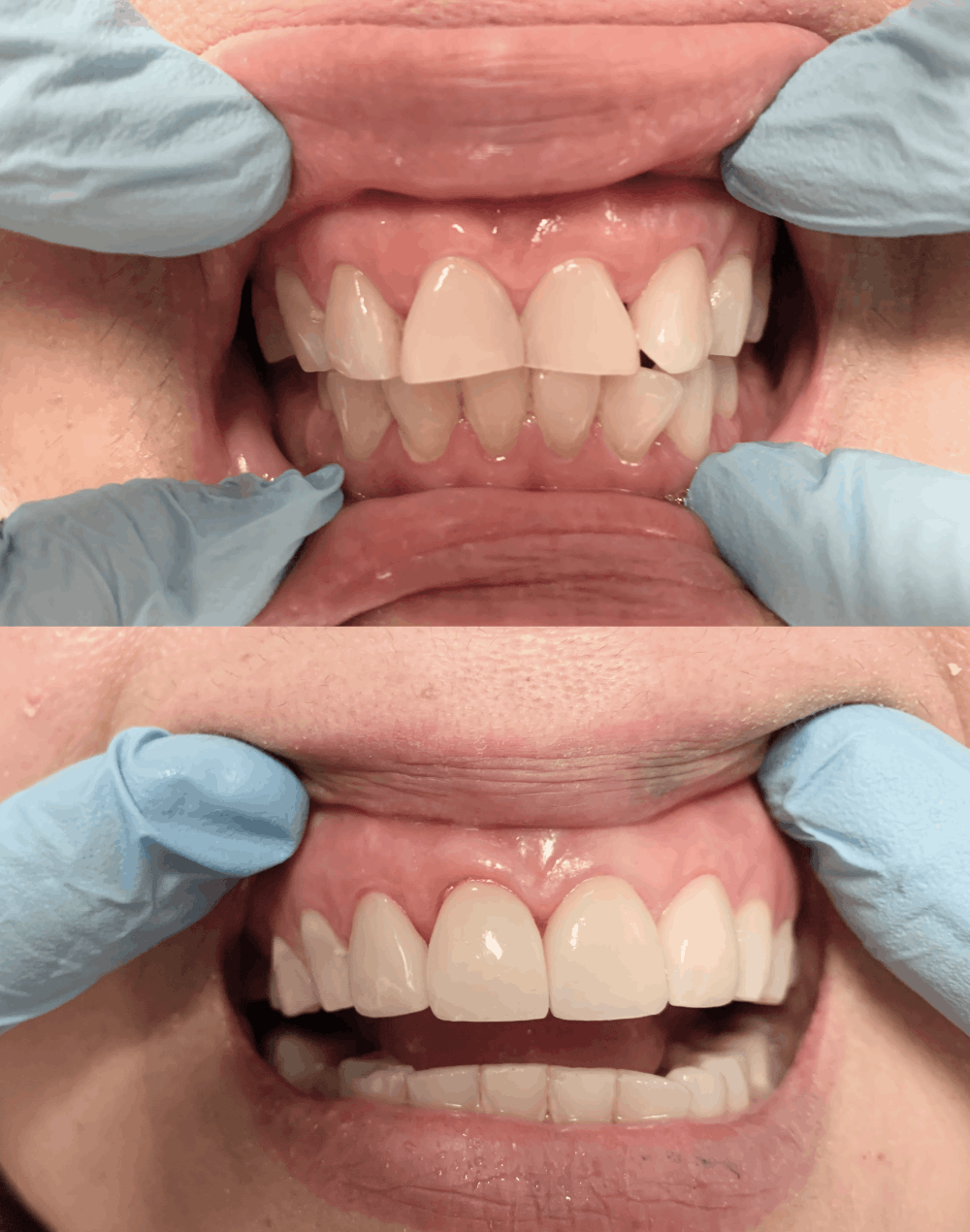
Gummy Smile Corrected for a More Confident Smile
After hearing about our office from a friend, J. S. scheduled a consultation to discuss her concerns. Our team took the time to listen, explain her options, and recommend a treatment plan tailored specifically to her needs. Throughout the process, she felt informed, supported, and confident in her care.
The results were transformative. J. S. was thrilled with her new smile and noticed an immediate boost in confidence. She now smiles openly, enjoys everyday moments without hesitation, and feels comfortable being herself in any setting. For J. S., correcting her gummy smile was more than a cosmetic improvement – it was a meaningful change that positively impacted her daily life.
Facial Rejuvenation Through Dental Restoration
By restoring the patient’s teeth to their original shape, position, and support, we were able to naturally rejuvenate her appearance and create a more youthful facial profile. Improved lip support was achieved without the use of lip injections, simply by returning the teeth to their proper function and structure.
The added support helps smooth premature wrinkles around the mouth, softens the facial profile, and creates a fresher, more balanced look – making the patient appear nearly ten years younger. This case demonstrates how a healthy, well-supported smile can influence facial harmony, confidence, and overall vitality.
Replacing Removable Dentures with All-on-Six Implant-Supported Teeth
By placing six strategically positioned dental implants, we were able to support a full arch of implant-secured teeth that look, feel, and function like natural teeth. Unlike removable dentures, this solution stays firmly in place, allowing the patient to eat, speak, and smile with confidence.
The result is a healthier, more vibrant smile with improved stability, comfort, and aesthetics. All-on-Six implant restorations offer a long-term solution for patients looking to move beyond dentures and enjoy the benefits of permanent teeth.
Chipped, Discolored, and Decayed Teeth Restored with Dental Bonding
Bonding restorations were carefully applied to rebuild tooth structure, improve color and shape, and restore a healthy, natural look. This conservative treatment allows damaged teeth to be repaired without extensive procedures, while still delivering noticeable aesthetic improvement.
The result is a refreshed smile that looks natural, functions properly, and supports long-term oral health. Dental bonding is an effective option for patients seeking meaningful cosmetic improvement with a minimally invasive approach.
