
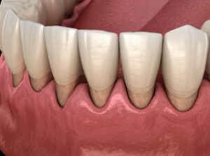
People of all ages might be affected by gum recession. Adults, on the other hand, are far more likely to experience gum recession. If your adult teeth appear to be getting longer, it’s an indication that your gums are receding.
Gum recession is linked to gum disease, which is an infection of the soft tissue that supports the teeth that worsens over time. Gum recession can be limited to a small region of the gum or spread out over a number of teeth. Gum recession is often overlooked since it does not cause discomfort. Visiting your dentist every six months will help you avoid additional gum recession, which can lead to tooth loss. When you see your dentist on a regular basis, they will be able to detect symptoms of gum and tooth inflammation and infection.
Serious Issues Can Occur if You Do Not Address Gum Recession
If left addressed, receding gums might become a concern. It is possible to restore any early damage to your gums and prevent them from additional harm if you take appropriate care of them. Gum recession must be diagnosed early in order for therapy to be effective. Gum recession happens gradually, and you may not even be aware that you have gum disease.
Symptoms of Gum Recession
Tooth sensitivity and discomfort occur as the gums recede away from the teeth. It’s possible that your gums are painful or your teeth are sensitive because your teeth are more exposed due to gum weakening. This is an excellent time to schedule an appointment with your dentist. Delaying treatment for gum recession might result in irreversible gum recession, tooth decay, or complicated dental treatments to restore gum health.
Other Potential Causes of Gum Disease
Other factors that contribute to gum recession may surprise you. When teeth are crowded and misplaced, the space between them might diminish with time. Hormonal changes can also cause muscle, soft tissue, and tendons to loosen during pregnancy. The delicate gum tissues around the teeth might be affected. Teeth might get weakened as a result of this.
Clenching and grinding are bad behaviors that put undue strain on the gums and jawbone. Gum recession and poor behaviors like cleaning and grinding have a strong clinical connection. Brushing with a hard-bristled toothbrush and brushing with too much pressure can wear down the gums, which is a less visible issue. Excessive abrasion along the teeth might irritate the gums and lead to infection.
What Can Be Done About Gum Recession?
If gum recession is caused by gum disease, treatment options include thorough cleaning and scaling, surgery, and gum grafting. Cleaning and scaling remove plaque and tartar accumulation deep behind the gum line by physically removing it. This stops the infection from spreading and causes the gums to recede.
Surgery or gum grafting, which takes healthy gums to repair receding gums, are more evasive procedures. This helps to avoid future problems from developing in the root of a tooth or teeth. The use of lasers is a novel and less intrusive therapeutic option. Lasers can be used to gently clean and kill the bacteria that causes irritated gums. Laser therapy can relieve discomfort, halt or eliminate deep pocket growth, and minimize tissue loss without destroying healthy gums.
The next step is to contact California Dental Group at 800-407-0161 to see how we can help you.
