COSMETIC DENTISTRY IN GARDENA
Cosmetic dentistry in Gardena helps enhance the look and harmony of your smile by addressing issues like discoloration, gaps, uneven edges, and worn enamel. Whether you’re seeking small refinements or a full smile makeover, your treatment is customized to reflect your goals—so you can smile with confidence again.
Special Limited
Time Offer
All Porcelain Veneers Special
Get started for only $50/month
Cannot be combined with other offers.
COSMETIC DENTISTRY SERVICES IN GARDENA
Explore treatment choices designed to help you feel great about your smile.
Teeth Whitening
Teeth Whitening
Porcelain Veneers
Porcelain Veneers
Cosmetic Bonding
Cosmetic Bonding
Smile Makeovers
Smile Makeovers
Tooth Contouring
Tooth Contouring
Invisalign® Clear Aligners
Invisalign® Clear Aligners
WHY PATIENTS TRUST California Dental Group
Cosmetic dentistry combines aesthetics, comfort, and function for confident, natural-looking results.
- Fully tailored cosmetic solutions
- Beautiful and lasting results
- Comfortable, confidence-building care
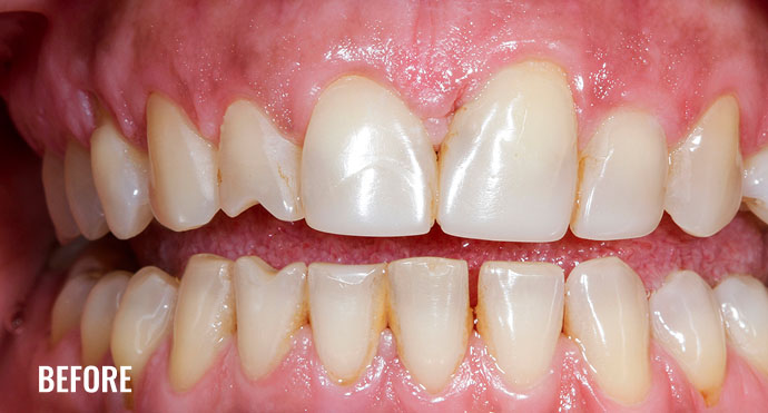
BEFORE & AFTER COSMETIC DENTISTRY IN GARDENA
See how cosmetic dentistry can improve the balance, brightness, and overall appearance of your smile.
Stained, uneven, or chipped teeth can affect both appearance and self-confidence.
Treatments help restore harmony, brightness, and a naturally appealing smile.
FREQUENTLY ASKED QUESTIONS
Helpful answers about cosmetic dentistry in Gardena
CAN COSMETIC DENTISTRY FIX CHIPS AND GAPS?
Yes. Options like bonding and veneers help repair chips, hide gaps, and create a smoother, more uniform smile.
HOW LONG DO COSMETIC RESULTS LAST?
Results can last several years with proper maintenance, especially with treatments like veneers, whitening, and bonding.
IS COSMETIC DENTISTRY JUST ABOUT LOOKS?
No. Many cosmetic procedures enhance tooth strength, protect enamel, and support long-term oral health.
ARE COSMETIC TREATMENTS CUSTOMIZED?
Yes. Every treatment is tailored to your unique smile goals, tooth shape, and facial features for natural-looking results.
CONFIDENT SMILES START HERE
Cosmetic dentistry doesn’t just brighten your smile—it helps restore balance, reshape alignment, and improve everyday comfort and confidence.
- Enhances appearance and oral comfort
- Addresses cosmetic and functional concerns
- Helps preserve natural tooth structure
COSMETIC DENTISTRY PROCESS
How cosmetic dentistry works at California Dental Group in Gardena
SEE THE DIFFERENCE
Cosmetic dentistry at California Dental Group focuses on more than just looks—it helps you regain function, comfort, and confidence. Whether you’re correcting a few teeth or revamping your whole smile, we deliver results that feel natural and look great.
- Designed to improve appearance and comfort
- Tailored treatment plans for your goals
- Natural-looking, lasting cosmetic smile results
What Our Gardena Patients Say
Our patients value thoughtful care, comfortable treatment experiences, and results that help them smile with confidence. From subtle enhancements to complete smile transformations, they trust California Dental Group for reliable results and exceptional support.
Bruce K.
![]()
“Nice staff and dentist spend time explain all about the treatment
Over all good experience!”
Ronda H.
![]()
“I’ve been going here a few years now and am very happy with everything about this place, from the staff to the location.”
Chris G.
![]()
"California Dental Group has to be the best dental company I’ve been to! Their team is very detail oriented. Answered all the questions that I had! So I walked out knowing I was given excellent dental treatment. I will now be going here for all my future dental needs! "
Julio F.
![]()
“I really like the service and how they treat me. The dentist Chris is very friendly and his assistants and receptionists always help me with all my questions that I have, thank you very much California Dental Group.”
Special Limited
Time Offer
All Porcelain Veneers Special
Get started for only $50/month
Includes FREE exam & digital x-rays
Hurry, spots are limited!
All-inclusive package valued at $978 per veneer.
Financing available on approved credit.
What’s Included in Your Cosmetic Dentistry Package
- Custom porcelain veneers designed for
natural-looking results - FREE exam and digital x-rays included
- 0% financing options for qualified patients
- Gentle, patient-focused care from experienced dentists
- Long-lasting results that enhance your smile
and confidence
Contact Us
Have questions or ready to explore cosmetic dentistry options in Gardena? Connect with California Dental Group today—we’re here to help you feel confident, informed, and excited about your smile.
1721 W. Artesia Blvd.
Gardena, CA 90248
